Search Dental Tribune

Artículos

Cómo desinfectar y reutilizar instrumentos

La compañía austríaca W&H Dentalwerk, fabricante de autoclaves, motores de implantología e instrumentos de alta precisión, ha desarrollado una ...

guardar

La importancia de la Asistente Dental

Desde 1980 consideramos en Centro Dental Multimédica que la labor del odontólogo presentaba muchas dificultades y que una forma de aliviarlas era contar ...

guardar

Máster en Ortodoncia digital avanzada a cargo de un gran maestro

El eminente profesor David Suárez Quintanilla reinicia el Máster en Ortodoncia de la Universidad de Santiago de Compostela, el cual ha sido remodelado y ...

guardar

El rejuvenecimiento del labio superior (4)

El Láser en Odontología 4 – Este es el cuarto artículo de una Edición Especial de Dental Tribune sobre el Láser en Odontología. ...

guardar

¡No te pierdas el Simposio de Osstell!

¡El Simposio online Osstell ISQ 2022 ya está aquí y la asistencia es gratis! El 13 de octubre, de 6 pm a 10 pm (CEST, hora de París) / 12 – 4 pm ...

guardar

La próxima generación en fresado dental

El grupo comercial DGSHAPE Americas de Roland DGA anunció el lanzamiento de una nueva fresadora que representa la próxima generación de soluciones de ...

guardar
advertisement

El Consejo General de Dentistas firma convenios durante el Congreso de la FDI

Los representantes de la Organización Colegial se reunieron con la presidenta de la FDI, Dra. Ishane Ben Yahya, a la que informaron de su nombramiento como...

guardar

Aplicaciones del láser en Cirugía Bucal (3)

El Láser en Odontología 3 – Este es el tercer artículo de una Edición Especial de Dental Tribune sobre el Láser en Odontología. ...

guardar

SEPA participa en el Seminario de la Asociación Colombiana de Periodoncia

En el marco del 62º Seminario de la Asociación Colombiana de Periodoncia y Oseointegración (ACPO), celebrado del 12 al 14 de septiembre en Cartagena de...

guardar

Introducción al uso del Láser en Odontología (2)

El Láser en Odontología 2 – Este es el segundo artículo de una Edición Especial  de Dental Tribune sobre el Láser en Odontología. ...

guardar

No se trata solo de arreglar dientes

La mayoría de pacientes visitan la clínica dental cuando tienen un dolor, cuando una pieza dental se ha quebrado o tienen caries. Este es un ...

guardar

CostaRicaBeach

mié. 21. septiembre 2022

advertisement

Alineadores 3DXpert

mié. 21. septiembre 2022

Los beneficios del láser en Odontología (1)

El Láser en Odontología 1 – Este es el primer artículo de una Edición Especial de Dental Tribune sobre el Láser en Odontología. ...

guardar

Supera los límites con este nuevo esterilizador

La innovación de productos consiste en superar los límites. Y esa es precisamente la máxima prioridad para W&H a la hora de desarrollar tecnología y...

guardar

Bejamín Herazo, reconocimiento a un pionero de la salud pública

El Dr. Bejamín Herazo es un verdadero pionero de la salud pública y de la ética odontológica a nivel latinoamericano. Por eso, es un placer anunciar a ...

guardar
advertisement

Congreso internacional en Costa Rica

El Colegio de Cirujanos Dentistas de Costa Rica les extiende un afectuoso saludo a todos los colegas y les invita a unirse al evento del gremio ...

guardar

La higiene bucal como determinante de la salud

La doctora Silvia Navas, odontóloga del Ministerio de Salud de El Salvador, describe las raíces subyacentes en los problemas de salud bucodental de gran ...

guardar

Por un liderazgo empresarial sostenible

La compañía Henry Schein anunció la publicación de su informe sobre responsabilidad social corporativa y sostenibilidad (RSC) titulado “Liderazgo ...

guardar

El sistema número 1 en limpieza y mantenimiento

Los sistemas de mantenimiento juegan un papel indispensable para el funcionamiento perfecto, la conservación del valor y la larga vida útil de los ...

guardar
advertisement

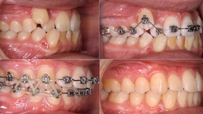
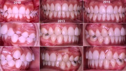
Retos diagnósticos: Un caso para Sherlock Holmes

El Dr. David Suárez Quintanilla investiga los síntomas y hallazgos clínicos de un caso que revelan que el paciente sufría de una dolencia completamente ...

guardar

¿Quieres ser un experto en alineadores dentales?

Un grupo de odontólogos y expertos en el diseño y fabricación de alineadores dentales ha creado una empresa para ayudar a que los profesionales de la ...

guardar
advertisement

Programa del VII Congreso Mundial de AIOI

El siguiente es el programa científico del VII Congreso Mundial de de la Academia Internacional de Odontología Integral, uno de los más importantes a ...

guardar

Innovadores productos en odontología, urología y terapia para el dolor  

La compañía suiza EMS reconoce la importancia de la región de América Latina como el lugar perfecto para ampliar sus negocios, expandiendo sus ...

guardar

La locura de los dientes turcos o "TurkeyTeeth"

Los influencers ingleses han puesto de moda viajar a Turquía para realizarse tratamientos dentales porque son más baratos. El resultado es que los ...

guardar

Consejos para elegir una buena turbina

Seleccionar el instrumental odontológico adecuado debe ser un proceso simple y eficaz, como te explicamos a continuación. La primera regla es elegir ...

guardar
advertisement

Retos diagnósticos: Un caso para Sherlock Holmes (2)

Una mañana, cuando se retiró los alineadores para hacerse la higiene bucodental, Marta se dio cuenta que no podía morder los alimentos y tuvo la ...

guardar

Retos diagnósticos: Un caso para Sherlock Holmes (1)

Marta se miró lentamente la cara y le pareció que algo estaba cambiando en su boca. Cuando apretaba las muelas, sentía como que sus dientes superiores ...

guardar

El congreso de los abrazos

El Dr. Sergio Hiskin, Presidente Mundial de la Academia Internacional de Odontología Integral, invita a la comunidad odontológica a participar en el VII ...

guardar

La enfermedad periodontal fuera de la cavidad bucal (2)

El Dr. Enrique Jadad aborda en este segundo artículo los efectos negativos que la enfermedad periodontal puede provocar como consecuencia de su capacidad ...

guardar
advertisement
advertisement