Search Dental Tribune

Artículos

Filtrar

El láser para unir continentes

La doctora Marcela Bisheimer, nueva presidenta de la Sociedad Española de Láser y Fototerapia en Odontología (SELO), expresó su interés en desarrollar ...

guardar

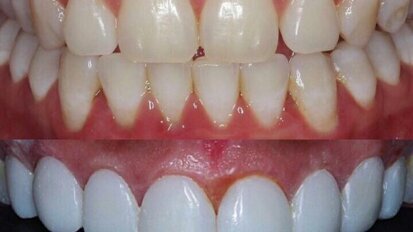
El láser permite realizar más tratamientos sin dolor

El director comercial de Biolase para Europa, África y Oriente Medio, Pedro Morales, manifestó a Dental Tribune que sólo en España se han vendido más ...

guardar

Láser para la periimplantitis

El doctor Josep Arnabat, uno de los principales expertos en láser odontológico a nivel mundial, reveló a Dental Tribune que está siguiendo varias ...

guardar

Odontología mercantilista, esclavista y denigrante

Muchos colegas se quejan por el detrimento de nuestra profesión, pero la culpa no es de nadie ajeno a la misma, es de esos odontólogos que realizan ...

guardar

Toda la sabiduría estética en una aplicación para iPad

El doctor Mauro Fradeani es uno de los padres de la odontología estética, conocido internacionalmente por su libro en dos volúmenes, titulado ...

guardar

La clave de la cirugía: “Manos regidas por un corazón que late por los pacientes”

El destacado implantólogo oral español Alberto Fernández Ruiz es conocido por su asombrosa destreza quirúrgica. Esta habilidad clínica es tan singular ...

guardar
advertisement

Caso clínico: Tratamiento con láser de malformaciones vasculares del labio inferior

Las malformaciones vasculares venosas son lesiones benignas que se originan en la piel o en la mucosa, las cuales causan trastornos funcionales y ...

guardar

Cursos sobre implantes cigomáticos en España y Cuba

La compañía fabricante de implantes Galimplant presentó en Expodental Madrid 2018 sus nuevos productos, al igual que conferencias a cargo de reconocidos ...

guardar

W&H gana el Premio Nacional de Innovación por las turbinas Primea Advanced Air

Las turbinas dentales son uno de los instrumentos más importantes para el dentista, pero su ruido provoca temor y ansiedad a muchos pacientes. W&H ...

guardar

Edición sin precedentes de Expodental 2018

La feria Expodental 2018, que reunió durante tres días en Feria de Madrid la mayor oferta de equipos, productos y servicios dentales de España, fue una ...

guardar

Cursos de Estética, Implantología y Rehabilitación en Barcelona y NYU

El director de un reconocido centro internacional de formación en implantología y rehabilitación oral reveló que el primer ciclo de cursos de 2018 se ...

guardar

Ceramill Sintron, más potente que nunca

El metal sinterizado (CoCr) Ceramill Sintron® permite confeccionar restauraciones de metales no preciosos en el laboratorio interno con máquinas CNC.

guardar
advertisement

Los héroes de la odontología

Los dentistas y el personal de la consulta son los héroes del día a día que se entregan en cuerpo y alma, ofrecen toda su experiencia y regalan una ...

guardar

El amor a la odontología personificado

El doctor José Francisco Cabarrús Poitevin de Guatemala es una verdadera eminencia de la odontología. Y su esposa Florinda, también odontóloga y nacida...

guardar

Odontología estética con nuevos materiales

El especialista mexicano en estética dental, Dr. Francisco Quiñones, fue uno de los principales ponentes en el Congreso FOCAP Nicaragua 2018.

guardar

Impulsan iniciativa de Salud Bucal en Escuelas el Día Mundial de la Salud Oral

La diputada del Partido Revolucionario Institucional (PRI) de México, Arlet Mólgora Glover, presentó una iniciativa de ley que modifica la Ley General ...

guardar
advertisement

Un odontólogo panameño gana el concurso de pósters de FOCAP

Un joven odontólogo panameño se alzó con el primer premio en el concurso de pósters de FOCAP Nicaragua 2018, celebrado recientemente en Managua.

guardar

Acteon promueve en Nicaragua la unidad panorámica X Mind Trium

La compañía francesa Acteon estuvo presente en el Congreso FOCAP Nicaragua 2018, donde su distribuidor Nicadent presentó una amplia gama de avanzados ...

guardar

Caso clínico: Tratamiento con láser de malformaciones vasculares del labio inferior

Las malformaciones vasculares venosas son lesiones benignas que se originan en la piel o en la mucosa, las cuales causan trastornos funcionales y ...

guardar

Más de 30,000 personas visitan Expodental Madrid

La feria Expodental, que se celebra en Madrid cada dos años, patrocinada por IFEMA y FENIN, batió récord de asistencia en la reciente edición, celebrada...

guardar
advertisement

W&H apoya a los odontólogos en su nueva campaña publicitaria

La nueva campaña «De paciente a fan» de W&H se centra en los dentistas y el personal de las clínicas, que son los héroes del día a día. El dentista ...

guardar

“Los implantes son el motor de la odontología contemporánea”

El doctor Jesús Ochoa, fundador de la cadena de clínicas Multident de Perú, manifestó que ponentes como el belga Eric Van Dooren están totalmente ...

guardar
advertisement

Galimplant presenta toda su gama de productos en Expodental 2018

Galimplant es una compañía que se ha destacado desde hace años por su compromiso con la investigación y la innovación como elementos fundamentales para...

guardar

Coronas de resina vs. coronas de circonio en Odontopediatría

Los autores realizan una comparación entre las coronas de resina y las coronas de circonio para determinar las diferencias que existen entre ambos ...

guardar

Schein expone sus últimas novedades en Expodental

Henry Schein España y las empresas del grupo Henry Schein, Infomed y BioHorizons, participarán en la XV edición de Expodental que tendrá lugar en Madrid...

guardar

Una clase científica magistral

El doctor Juan Francisco Pardo, de Perú, manifestó que la 4ª Conferencia Global de MIS Implants fue “una clase científica realmente magistral”.

guardar
advertisement

W&H Ibérica, 20 años al servicio de sus clientes

La delegación de W&H para España y Portugal fue fundada en 1998 como parte de un ambicioso proyecto de Peter Malata, Presidente del Grupo W&H y Rudolf ...

guardar

Todo listo para el Congreso AILARO 2018

El Dr. Rodney Valverde Montalva, Vicepresidente de la Sociedad Peruana de Prótesis Dental y Maxilofacial (SPPDMF), manifestó a Dental Tribune que todo ...

guardar

El diagnóstico más fácil en 3D y en 2D

El Hyperion X5 de MyRay es el primer sistema de imagen suspendido 3D/2D en miniatura del mundo, diseñado específicamente para tu consultorio.

guardar

La APE lanzará un programa contra la caries

El doctor Omar Neyra reveló durante la 4ª Conferencia Global de MIS Implants que ha sido elegido como presidente de la Academia Peruana de Estomatología ...

guardar
advertisement
advertisement