Search Dental Tribune

Artículos

La evolución de la pintura moderna

Podemos identificar lo moderno en el arte con dos características que, unidas o independientes, confieren una identidad. Lo moderno es una determinada ...

guardar

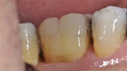
Tratamiento de paciente con endocarditis y caries activas

El siguiente caso clínico ilustra el Concepto de Prevención Personalizada, el cual se ha desarrollado para evitar que los factores de riesgo de la salud ...

guardar

El misterio del hueso alveolar en el desarrollo facial (2)

David Suárez Quintanilla y colaboradores reivindican en este artículo original el papel de un hueso al que por lo general se le da poca importancia, pero ...

guardar

Simposium Internacional de Implantología Oral

La Sociedad Española de Implantes (SEI), junto con la Sociedad Portuguesa de Implantología y Oseointegración (SOPIO), organiza un Simposium Internacional...

guardar

Odontología amable, el reto de cada profesional

El experto en gestión de la clínica Roberto Ardila explica en esta ocasión la necesidad de practicar una forma de odontología que le haga sentir ...

guardar

“La ética, el servicio y la educación continuada” son esenciales

La Dra. Claudia Patricia Esparza es una pionera de la implantología oral en Colombia, donde fundó y dirigió durante años el centro educativo Esparza ...

guardar
advertisement

Agua pura para la salud de sus esterilizadores

Si el agua pura es vital para la salud humana, lo mismo ocurre con algunos dispositivos que son esenciales para conseguir una verdadera desinfección de los...

guardar

Djokovic y las vacunas (2)

La vacunación se ha vuelto un arma arrojadiza. Y en Australia, como no podía ser de otra forma, se parece a un boomerang. Pero al igual que sucede con esa...

guardar

El arte de curar en la era digital

El Dr. David Suárez Quintanilla reflexiona sobre el futuro de la Odontología en este ensayo en el que describe los múltiples cambios y peligros que ...

guardar

Predicciones odontológicas 2022

Dental Tribune preguntó a una serie de líderes a nivel clínico y empresarial cuáles eran sus predicciones para la odontología en el año que recién ...

guardar

Aplazan el congreso de CIOSP

El mayor congreso odontológico de América Latina ha sido aplazado debido a las repercusiones de la pandemia. El congreso debía celebrarse del 26 al 29 de...

guardar
advertisement

El misterio del hueso alveolar en el desarrollo facial (1)

David Suárez Quintanilla y colaboradores reivindican en este artículo original el papel de un hueso al que por lo general se le da poca importancia, pero ...

guardar

10 preguntas al Dr. Juan Carlos Ibáñez

El Dr. Juan Carlos Ibáñez, reconocido experto argentino en Implantología Oral comenta en esta entrevista que la lección positiva de la pandemia es la ...

guardar

La inolvidable sonrisa de Sidney Poitier

Sidney Poitier rompió con impecable elegancia y singular determinación todas las barreras que la vida le puso en su camino, que fueron muchas más que las...

guardar
advertisement

“Invito a nuestros colegas latinoamericanos al congreso de CIOSP”

El Dr. Wilson Chediek es Presidente de la Asociación Paulista de Cirujanos Dentistas (APCD), que cuenta con 40.000 miembros y es una de las asociaciones ...

guardar

Perio Master Clinic llega a las Américas

La Federación Europea de Periodoncia (EFP) está ultimando los preparativos para la conferencia International Perio Master Clinic 2022, que se celebrará ...

guardar

Djokovic y las vacunas

Las libertades individuales son una parte fundamental de los derechos del ser humano. En los sistemas democráticos, nos permiten elegir a las personas que ...

guardar

El inventor de CEREC cumple 80 años

Hace 35 años apareció un nuevo dispositivo que revolucionó la odontología: el sistema CEREC para hacer restauraciones de cerámica, inventado por el ...

guardar
advertisement

¡Vuelve la reunión anual de AO en vivo!

Vuelva a ver a sus colegas en el congreso que lleva el lema “Implantología para todos: Honrando el pasado, atesorando el presente y dando forma al ...

guardar

UNAM continuará en formato híbrido

La Universidad Nacional Autónoma de México (UNAM) inform que todas las actividades del mayor centro educativo de América Latina continuarán en formato ...

guardar
advertisement

Dientes de película

La reciente popularidad de la película “Don’t look up”, una dura sátira de la política norteamericana, ha vuelto a llevar a un primer plano el ...

guardar

¡Solo somos unos idiotas útiles!

El Dr. Enrique Jadad critica en este artículo que la industria dental promueva la automedicación y el autotratamiento de las personas. El rehabilitador ...

guardar

Prevención personalizada para tus pacientes

El concepto de prevención orientado al paciente ha sido diseñado para evitar o minimizar los factores de riesgo de la salud general que influyen en la ...

guardar

“El trato humano tiene una gran valía en la relación personal”

El Dr. Rafael Mejicano es el fundador de Centro Dental Multimédica de Guatemala, una de las clínicas más reconocidas y avanzadas de América Latina, ...

guardar
advertisement

Un nuevo evento tecnológico en el sector dental

Durante tres días del 2 al 4 de diciembre, Barcelona Dental Show (BDS), este nuevo evento tecnológico y de innovación para los profesionales de la salud ...

guardar

Nueva clínica móvil de Columbia para la atención comunitaria

Funcionarios y líderes comunitarios se unieron a autoridades de la Universidad de Columbia de Nueva York en su campus de Manhattanville en West Harlem el ...

guardar

Mejorando la calidad de los implantes dentales

Las compañías más reconocidas de la implantología española presentaron recientemente sus productos en la exposición comercial de la XV Reunión ...

guardar

Simposio sobre Flujo Digital en Ortodoncia con Microimplantes

La primera Edición del Simposio de Microdent y Ortoplus, que tuvo lugar en Málaga bajo el lema “Flujo Digital en Ortodoncia con Microimplantes”, ...

guardar
advertisement
advertisement